一般の方へgeneral

歯科領域(検査について)About Inspection

歯科領域でのX線検査とは?

皆さん、歯や顎なと、口周りの領域を専門としたX線検査があることはご存知ですか?
親知らず(智歯)や歯周病、歯科インプラント治療、矯正歯科治療、顎関節症などの際に専用の撮影装置を使用してX線検査を行います。一般的に行われるのが一般撮影とCTの検査になります。

パントモ撮影

一般撮影の検査では、歯科領域専用のパントモ撮影装置というものを使い、歯列のパノラマX線写真を撮影していきます。

皆さんはスマートフォンでパノラマ写真を撮った経験はありますか?パノラマ撮影は自分を中心にスマートフォンを動かしながら撮影しますが、X線撮影も同じように、装置が患者さんの顎を中心に動きながら撮影していきます。
すると下のように、顎のパノラマX線写真が撮影できてしまいます。

もちろん、歯2~3本を撮影することもできます。

パノラマX線写真

歯2~3本の撮影

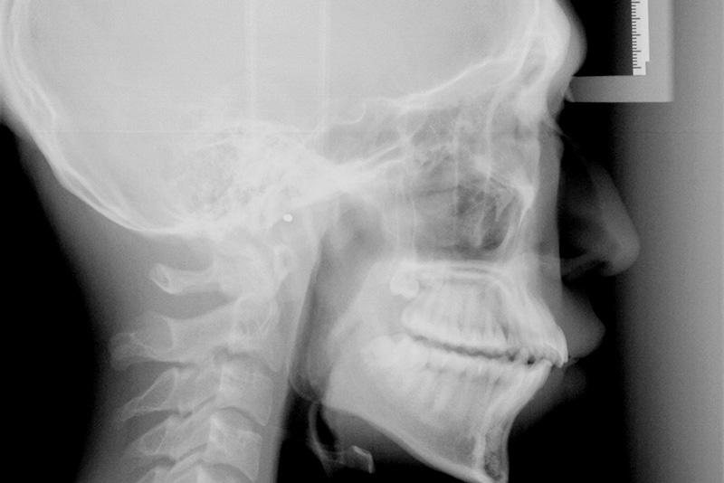
セファロ写真

また、矯正歯科治療の際にはセファロ写真(側方頭部X線規格写真)という特殊な撮影を行います。

セファロ写真は世界共通の撮影規格であり、この写真を用いて矯正治療の方針を決めていきます。

  • X線管球の焦点―フィルム間距離は165cm
  • 被写体―フィルム間距離は15cm

TOP