一般の方へgeneral

X線透視検査(検査について)About Inspection

X線透視検査とは?

X線透視検査は食道・胃・大腸などの消化管の検査や整形外科系の骨折・脱臼等の整復術、脊髄・関節腔の造影、さらには各臓器の機能や形態を調べたり、手術後の狭窄や漏れの状態の確認を行います。X線透視検査は非常に多岐に渡っており、超音波装置や内視鏡検査と組み合わせて使用することもあり、検査と同時に治療を行う事もあります。
通常人体はX線透視下では骨や石灰化以外の臓器ではX線の透過率の差により画像上描出することが出来ませんので造影剤を使用します。
造影剤は検査目的によって使用する種類が違います。それぞれの造影剤には副作用がありますので、検査・治療を行う施設にて確認してください。

X線透視検査紹介

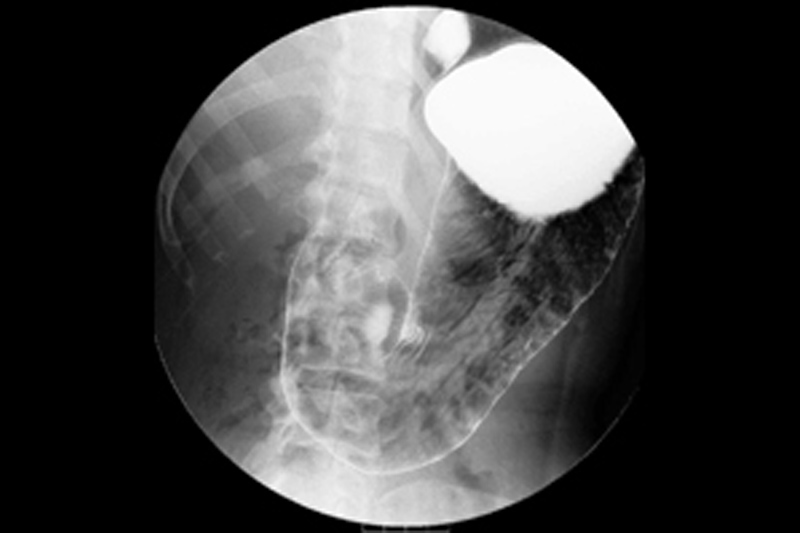
上部消化管造影

造影剤(バリウム等)を飲んでもらいながら、食道から胃、十二指腸、小腸の形状や粘膜の状態、また通過状態を観察する検査です。検査台の上で身体の向きを変えながら様々な方向から撮影をしていきます。
対象疾患:胃がんや胃潰瘍、逆流性食道炎など。

下部消化管造影

肛門にチューブを入れて造影剤や空気を注入して大腸を膨らませて撮影を行う検査です。
大腸全体に空気と造影剤を送り、大腸の粘膜や形態に異常がないか確認します。
対象疾患:大腸がんや潰瘍性大腸炎など。

脊髄腔造影(ミエログラフィ)

脊髄腔造影は背中から針を刺し脊髄腔内に造影剤を注入し、脊柱管内の狭窄や圧迫の状態を評価する検査です。造影後にCTを撮影し、多方向からの観察を行うこともあります。
対象疾患:椎間板ヘルニア、脊柱管狭窄症など

内視鏡的逆行性胆管膵管造影検査(ERCP)

内視鏡を使用して胆管や膵管の開口部である十二指腸のファーター乳頭という小さい穴にチューブを挿入し、そこへ造影剤を注入して膵管・胆管の形や大きさ・太さ等を確認します。この検査では総胆管結石や狭窄などがあった場合、結石除去やステント挿入といった治療を行う事もあります。
対象疾患:膵臓がん、胆管結石、慢性膵炎、膵管胆管合流異常など

子宮卵管造影

子宮卵管造影検査は、子宮口から細いチューブを子宮の中に入れて造影剤を注入し撮影を行います。主に不妊症の原因を調べるために行う検査で子宮の形や卵管の通過障害の有無を確認します。
対象疾患:不妊症など


TOP